Bespoke, natural-looking and secure dentures to boost your oral health and get you smiling again - book your consultation today!
Katie is passionate about providing her patients with incredible bespoke designed and highly aesthetic dentures, ensuring their privacy is maintained throughout and giving a natural-looking smile to really be proud of. She is very experienced in all aspects of denture treatment and care.
Katie is a member of the highly regarded exclusive Besford Study Club for clinicians with a passion for providing highly bespoke dentures.
Read full bioDr Katie Ernst provides incredible quality dentures that are completely bespoke to you, using her exceptional skills and experience to deliver the best results.
We focus on the most intricate of details when creating your dentures, ensuring they look beautifully natural and have maximum stability, allowing you to eat and smile with confidence.
We are pleased to offer different types of dentures to meet the needs and preferences of every patient. This includes immediate dentures, which are fitted directly after tooth extraction and mean you are never without teeth.
We use innovative digital technology to elevate your treatment experience and ensure your dentures are well-fitting, secure and comfortable, made to your exact specifications.

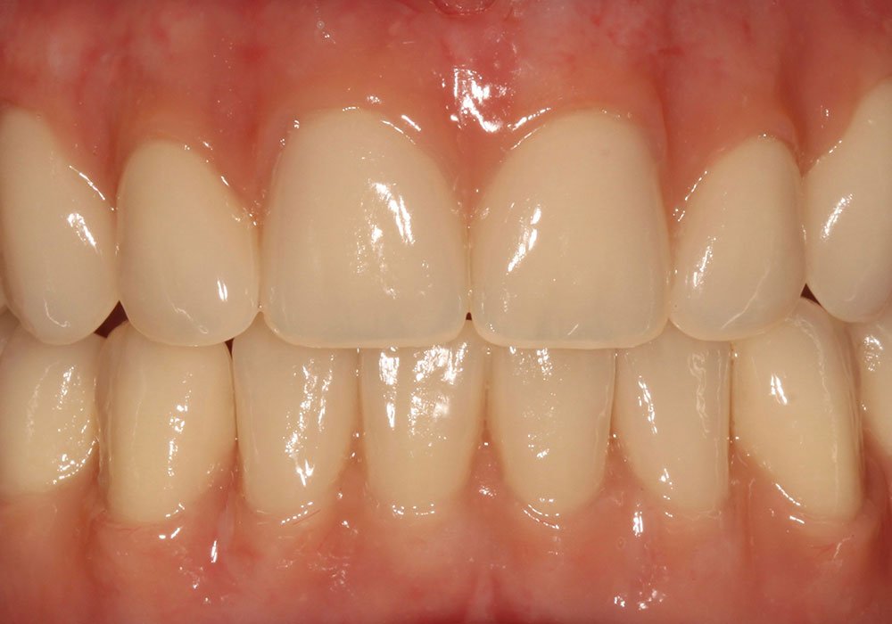
Here is a video and photos of an extremely happy patient after receiving his brand new, fully characterised, bespoke complete suction effect dentures. You can see from the before photo that the dentures were tired and stained with no characterisation, now they look beautiful and natural.
Book an appointment

It is important that you treat your dentures with care to avoid them getting damaged unnecessarily. When they are out of your mouth, make sure your dentures are stored in water or special denture fluid to avoid them drying out and losing their shape. If you need any advice on how to care for your dentures, we are happy to help.
When your dentures are first fitted, you may find eating is tricky, but this will improve. It is best to stick to softer foods initially, as you get used to the feel of the dentures, and slowly introduce other items. You will find that your mouth quickly gets used to your new teeth and you will be able to eat and chew confidently before long.
You will likely find speaking a bit more difficult at first, but this will get better over time. You may wish to practise reading aloud at home to help your mouth get used to your dentures more quickly.
Your dentures are strong and stable, so you will be able to eat most foods without any trouble. However, to avoid causing any damage to your dentures, it is best to avoid biting into very hard or sticky foods. We are happy to advise you – simply get in touch.



